Kujdes: Historia e mëposhtme përmban detaje grafike të dhunës të cilat disa lexues mund t’i gjejnë shqetësuese.
Një analizë e BBC News në gjuhën persiane e qindra videove dhe fotografive të marra gjatë protestave të fundit në Iran konfirmon përdorimin nga forcat e sigurisë të një game të gjerë armësh, duke përfshirë mitralozë, pushkë snajperi dhe pushkë gjahu.
Protestuesit thuhet se u vranë në shumë nga më shumë se 200 qytetet ku ishin regjistruar protesta. Ndërsa numri i saktë i të vdekurve mbetet i paqartë, niveli i brutalitetit dhe përdorimi i armëve vdekjeprurëse i dëshmuar në fotografi, rrëfime dëshmitarësh dhe raporte nga grupet e të drejtave të njeriut dhe media tregojnë se mijëra janë vrarë në të gjithë vendin.
Shtypja e protestave – e cila filloi për shkak të ekonomisë, por u përshkallëzua me shpejtësi – përdori një nivel dhune të paparë në historinë moderne iraniane.
“Kjo është vrasja masive më e madhe në historinë bashkëkohore iraniane dhe një nga më të mëdhatë në botë”, tha për BBC News Persian Payam Akhavan, një ish-prokuror iraniano-kanadez i OKB-së në Gjykatën Ndërkombëtare Penale në Hagë.
Qeveria iraniane i ka fajësuar për vrasjet “rebelët dhe terroristët”.
Por analiza e BBC News në gjuhën persiane tregon se forcat e sigurisë përdorën një numër armësh të ndryshme kundër protestuesve, duke përfshirë:
- mitralozë
- pushkë snajperi
- pushkë sulmi
- pushkë gjuetie
- pistoleta
- pistoleta paintball me fishekë
- gaz lotsjellës
- maketa
- thika
- shkopinj
- klube të mëdha prej druri
- pamjet dhe treguesit me lazer jeshil (për verbim dhe shënjestër)
Mitralozë

Pamjet filmike nga qytete të tilla si Teherani, Isfahani, Yazdanshahr dhe Shahsavar, të verifikuara nga BBC News Persian, tregojnë mitralozë të rëndë – si DShK – dhe të mesëm – si PK – të montuar në kamionçina ushtarake.
Forcat e sigurisë thuhet se i përdorën këto për kontrollin e turmës dhe për të vendosur gjendje rrethimi.
Kanali Vahid Online në Telegram ndau dy fotografi të një kamioneti të zi me një mitraloz të montuar në pjesën e pasme në sheshin Sadeghiyeh të Teheranit natën e 8 janarit.
BBC News Persian i krahasoi këto foto me foto, të publikuara nga Agjencia gjysmëzyrtare e Lajmeve Fars e Iranit, të një parade ushtarake të vitit 2025, duke treguar kamioneta pothuajse identike të Korpusit të Gardës Revolucionare Islamike (IRGC) të pajisura me të njëjtën armë. Eksperti i armëve, Amael Kotlarski, i kompanisë së inteligjencës mbrojtëse Janes, e ka identifikuar atë si modelin DShKM, të prodhuar me licencë në Iran.

Një video e protestave të 9 janarit në Yazdanshahr, e publikuar nga rrjeti televiziv Iran International, tregon qartë protestuesit që përballen me të shtëna të vazhdueshme nga mitralozi. Të shtënat masive nga gryka e armës janë të dukshme që në sekondën e 46-të.
Një përfaqësues i Thames Valley Guns, një kompani me seli në Mbretërinë e Bashkuar e specializuar në analizën e ekspertëve të armëve të zjarrit ushtarak, i tha gjithashtu BBC News se automjete persiane të pajisura me mitralozë DShK mund të shiheshin në videot e protestave.

Në një video të verifikuar, dikush shfaq dy gëzhoja të harxhuara nga një pushkë sulmi Kalashnikov AK-47 dhe një predhë të madhe të harxhuar, duke shpjeguar se forcat e sigurisë i kishin qëlluar ato drejt protestuesve në sheshin Behesht të Teheranit.
Thames Valley Guns konfirmoi se predha e madhe e zezë ishte një fishek automatik topi 20 mm i projektuar për t’u përdorur kundër pajisjeve ushtarake. Dhe shenjat e pushkës në shiritin e saj të drejtimit konfirmojnë se ishte qëlluar.
“Municionet e kësaj natyre kanë për qëllim shkatërrimin e strukturave, automjeteve dhe objektivave të përforcuar, duke përfshirë transportuesit e lehtë të blinduar të personelit”, tha përfaqësuesi.
“Ato nuk janë projektuar për t’u përdorur kundër personelit, megjithëse pasojat e një sulmi të tillë ndaj një njeriu do të ishin katastrofike.”
Pushkë snajperi

Dëshmitarët i kanë thënë BBC News se pushkët snajperë persianë u përdorën gjerësisht gjatë protestave të janarit dhe kjo konfirmohet nga pamjet e verifikuara.
Një nga videot e verifikuara nga BBC News Persian, e protestave të 9 janarit në qytetin verilindor të Mashhadit, tregon dy figura me uniforma taktike të zeza të tipit që veshin disa degë të forcave të sigurisë, përfshirë IRGC-në, në çatinë e një hoteli. Dhe njëri prej tyre ka një pushkë snajperi Dragunov (SVD) të mbështetur në një mur pranë tij.
Në një intervistë me televizionin shtetëror iranian, një ekspert mjeko-ligjor konfirmoi se snajperët kishin vrarë protestues. Më 8 janar, një i afërm i Ebrahim Pourahmadian, nga Saqqez, në provincën perëndimore të Kurdistanit, i cili ndodhej në Teheran, duke punuar si kujdestar i një ndërtese, i tha BBC News Persian se një snajper e kishte qëlluar në kokë, pikërisht para fëmijës së tij.
Dhe fotografitë e trupit të Pourahmadian, të marra nga BBC News News Persian, konfirmojnë një plagë të vetme me armë zjarri precize, në mes të ballit të tij.
Përfaqësuesi i Thames Valley Guns shpjegoi ndikimin e thellë psikologjik të një snajperi të pozicionuar mirë. “Për civilët e patrajnuar, efekti është edhe më i rëndë,” tha përfaqësuesi. “Shumica e njerëzve nuk e kuptojnë se si t’i përgjigjen një kërcënimi të largët dhe të padukshëm – dhe frika që rezulton sigurisht që shkakton panik masiv.”
Pushkë sulmi

Pushka sulmuese Kalashnikov është arma standarde për të gjitha degët ushtarake dhe të zbatimit të ligjit në Iran. Dhe BBC News Persian ka analizuar video të shumta që tregojnë anëtarë si të policisë ashtu edhe të IRGC-së duke përdorur Kallashnikovë AK-47 dhe variantet e Kundërsulmit të Luftës së Dytë Botërore të prodhuara në Iran.
Njëra prej tyre, nga qyteti verior i Amol, më 9 janar, tregon një oficer sigurie duke synuar dhe qëlluar me një kallashnikov drejtpërdrejt protestuesve. Dhe pasi analizoi imazhet ekskluzive të marra nga BBC News Persian të gëzhojave të përdorura të gjetura nga rrugët, Kotlarski konfirmoi se ato ishin fishekë 7.62×39 mm – kalibri specifik për pushkët e tipit Kalashnikov.
Pushkë gjuetie

Hetimi i BBC News Persian konfirmon përdorimin e gjerë të pushkëve të gjuetisë.
Pamjet e verifikuara nga qyteti perëndimor i Lordegan, më 1 janar, dhe Abadan, gjithashtu në perëndim, më 7 janar, tregojnë oficerë policie me pushkë të vendosura në rrugë gjatë protestave. Dhe Kotlarski identifikoi disa modele, duke përfshirë pushkën Maher të prodhuar në Iran, si në konfigurime standarde ashtu edhe me tytë të shkurtër.

Siç e pamë gjatë shtypjes së protestave “Gruaja, Jeta, Liria” të vitit 2022, përdorimi i përhapur i pushkëve në janar rezultoi në vrasjen e shumë protestuesve dhe la qindra, nëse jo mijëra, të tjerë me lëndime të përhershme në sy.
Midis 9 dhe 10 janarit, rreth 1,000 pacientë që kishin nevojë për ndërhyrje kirurgjikale urgjente për këputje të syve të shkaktuara nga kokrrizat metalike mbërritën vetëm në një spital të vetëm syri, tha drejtori i tij, Dr. Ghasem Fakhraei, për Agjencinë gjysmëzyrtare të Lajmeve të Studentëve Iranianë.
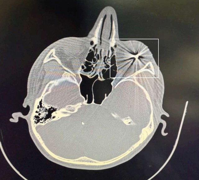
Dhe BBC News Persian ka siguruar skanime CT dhe të dhëna mjekësore të disa protestuesve të plagosur nga Mashhadi, njëra prej të cilave tregon qartë një fishek metalik të ngulitur në indin e syrit.
Pistoleta
Në dy video nga Kermanshah, më 8 janar, agjentë të forcave të sigurisë të veshur si civilë shihen duke përdorur të paktën dy lloje pistoletash, të cilat, sipas analistëve, ngjajnë me Beretta Model 50 ose CZ 75.
Machete

Shumë protestues i kanë thënë BBC News Persian se janë sulmuar me thika dhe hanxharë. Fotografitë e trupave të siguruara nga BBC News Persian tregojnë gjithashtu plagë nga hanxhari, si dhe plagë nga plumbat.
Pamjet e kamerave të sigurisë nga Teherani tregojnë qartë agjentë me rroba civile që sulmojnë me hanxharë protestuesit që kërkojnë strehim në një bllok apartamentesh.
Një video tjetër nga kryeqyteti, më 8 janar, tregon një oficer të veshur civil duke goditur një protestuese femër në kokë me një hanxhar. Disa personel të tjerë të sigurisë me uniforma ushtarake janë gjithashtu të dukshëm.
Shkopinj
Videot dhe intervistat e kryera nga BBC News Persian me të mbijetuarit tregojnë njerëz që rrihen me shkopinj gome. BBC News Persian verifikoi se një protestues, Saghar Seifollahi Fars, u vra në këtë mënyrë dhe një tjetër, Ali Taherkhani, i cili u qëllua i pari, vdiq jo për shkak të plagëve nga plumbat, por nga rrahja e mëvonshme me shkopinj gome dhe bishta armësh.

