Shendetesi
Hapet skema e largimit vullnetar nga puna në spital
Një skemë pushimi vullnetar nga puna është hapur për të gjithë stafin në spitalin e një qyteti për shkak të…
Pacienti më i ri që i është bërë transfuzioni ‘tani djalë i vogël gazmor’
Një foshnjë që u infektua me një virus kur ishte ende në barkun e nënës mendohet të jetë foshnja më…
Shtohen rastet me Sifiliz e Hiv Aids, mjekët apelojnë për kryerjen e egzaminimeve
Sëmundjet seksualisht të transmetueshme po njohin rritje të ndjeshme vitet e fundit. Mjekët gjinekologë thonë se faktorë si ndërrimi i…
“COVID i zgjatur” pritet t’u kushtojë vendeve të OECD 116 miliardë euro në vit
“COVID i zgjatur” mund t’u kushtojë vendeve të OECD deri në rreth 116 miliardë euro në vit gjatë dekadës së…
Britani, mbi 1.500 të vdekur nga nxehtësia në verën e vitit 2025
Rreth 1.504 persona vdiqën në incidente të lidhura me nxehtësinë në të gjithë Britaninë gjatë verës së vitit 2025, tha…
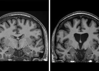
Alzheimeri mund të parandalohet! Ja katër shtyllat kryesore që e ulin rrezikun e demencës në 40%
Aktiviteti fizik i moderuar, gjumi i rregullt, dieta dhe vaksinimet janë katër shtyllat kryesore që mund të ndihmojnë në parandalimin…
LIVE ALBUK TV
ALBUK TV ● LIVE

